Septate Uterus Mimicking Didelphys Uterus Radiology Case Radiopaedia Org
Septate Uterus Mimicking Didelphys Uterus Radiology Case Radiopaedia Org
Uterus Didelphys Radiology Reference Article Radiopaedia Org
Uterus Didelphys Radiology Case Radiopaedia Org
Uterus Didelphys Radiology Case Radiopaedia Org
Uterus Didelphys Anatomic Variant Xiang 2018 Journal Of Medical Imaging And Radiation Oncology Wiley Online Library
Uterus Didelphys Longitudinal And Transverse Vaginal Septa Mri Download Scientific Diagram
Uterus Didelphys Radiology Reference Article Radiopaedia Org
Mri Shows Right Horn Of Uterus Didelphys Communicating With Download Scientific Diagram
Congenital Uterine Anomalies Radiology Key
Magnetic Resonance Imaging In Diagnosis And Classification Of Uterovaginal Congenital Anomalies Yadav P Med J Dy Patil Univ
Bernardeena The Difference Between A Uterus Bicornis Bicollis And A Uterus Didelphys Ultrasound School Sonography Diagnostic Medical Sonography
Congenital Uterine Anomalies Radiology Key
Uterus Didelphys Uct Pathology Learning Centre
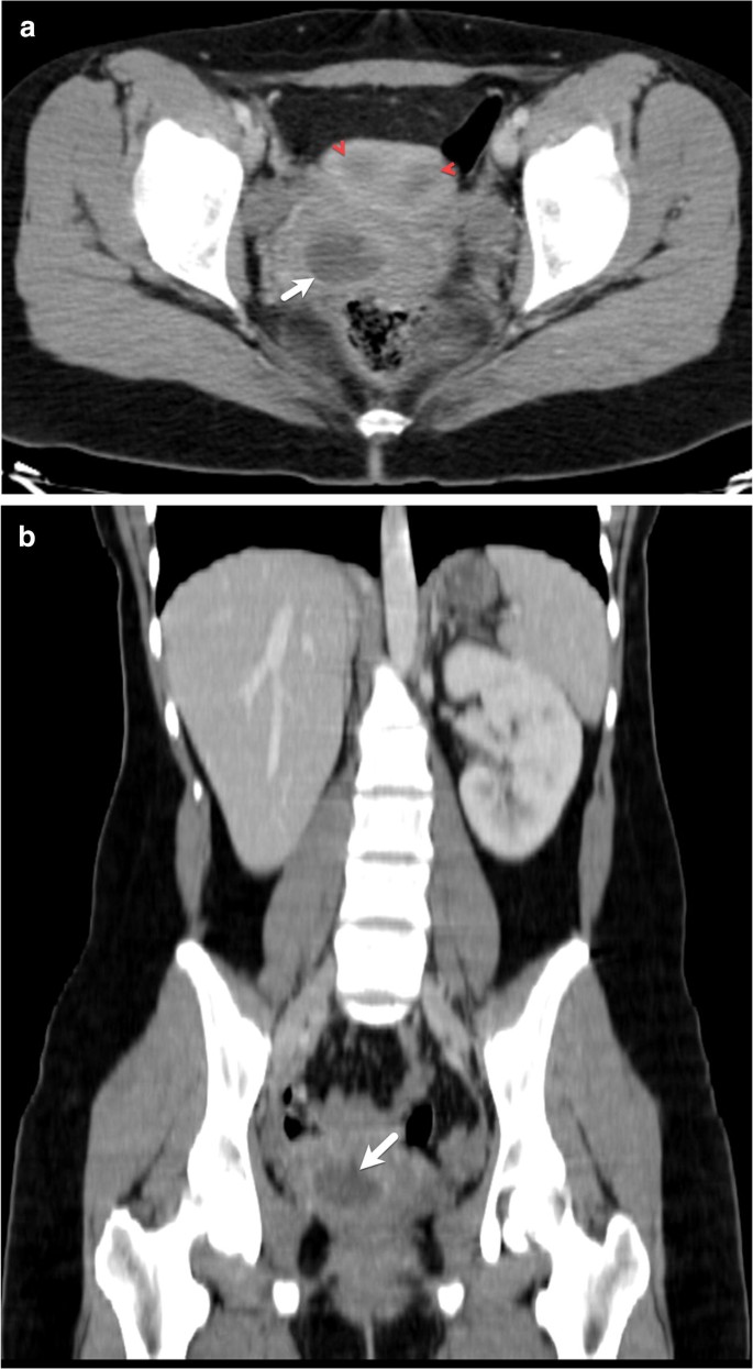
Uterine Didelphys With Concomitant Renal Anomalies In Both Mother And Fetus Sciencedirect
A Mri Pelvis Axial Image Uterus Didelphys Normal Endometrial Download Scientific Diagram
Imaging Of Mullerian Duct Anomalies Radiographics
Herlyn Werner Wunderlich Syndrome With Ureteric Remnant Abscess Managed Laparoscopically
Uterus Didelphys Radiology Case Radiopaedia Org
Imaging Of Mullerian Duct Anomalies Radiographics
Didelphys Bicornuate And Septate Uteri A 1 Hsg Image Of A Patient Download Scientific Diagram
Bicornuate Or Septate Uterus Part 1 Alabama Fertility
Ultrasound Evaluation Of The Uterus Radiology Key
Uterus Didelphys Radiology Case Radiopaedia Org
Imaging Of Mullerian Duct Anomalies Radiographics
Uterine Didelphys Associated With Obstructed Hemivagina And Ipsilateral Renal Anomaly Ohvira Syndrome Sciencedirect
Plicae Palmatae Of The Cervical Canals In Uterus Didelphys Mr Imaging Springerlink
Mullerian Duct Anomalies Uterine Didelphys Radiologypics Com
Presentation1 Pptx Radiological Imaging Of Uterine Lesions
Uterus Didelphys Radiology Reference Article Radiopaedia Org
Uterus Didelphys Radiology Reference Article Radiopaedia Org Uterus Radiology Reference
Pyometra And Pregnancy With Herlyn Werner Wunderlich Syndrome
Uterine Didelphys Associated With Obstructed Hemivagina And Ipsilateral Renal Anomaly Ohvira Syndrome Sciencedirect
Herlyn Werner Wunderlich Syndrome Presenting With Infertility Role Of Mri In Diagnosis Ahmad Z Goyal A Das Cj Deka D Sharma R Indian J Radiol Imaging
Congenital Uterine Anomalies Springerlink
Three Cases Of Didelphys Uterus Including Uterus Didelphys With Obstructed Hemivagina And Ipsilateral Renal Agenesis Ohvira Syndrome Aka Herlyn Werner Wunderlich Syndrome With A Systematic Review Medcrave Online
Diagnosis And Treatment Of A Communicating Uterus Didelphys With An Atretic Hemivagina Johnston Macananny 2008 Journal Of Ultrasound In Medicine Wiley Online Library
Uterus Didelphys Uct Pathology Learning Centre
Mullerian Duct Anomalies From Diagnosis To Intervention Abstract Europe Pmc
Uterus Didelphys Radiology Case Radiopaedia Org
The Role Of Magnetic Resonance Imaging In The Evaluation Of Gynecologic Disease Radiology Key
Role Of Imaging In Rare Obstructive Reproductive Tract Anomalies An Enigma A Case Report Springerlink
Figure 1 From Uterus Didelphys With Unilateral Distal Vaginal Agenesis And Ipsilateral Renal Agenesis Common Presentation Of An Unusual Variation Semantic Scholar
A 26 Year Old Woman With Uterus Didelphys Class Download Scientific Diagram
Jcdr Hematometra Mri Obstructed Hemivagina Usg Uterus Didelphys Vaginal Atresia Vaginal Septum
Mullerian Anomaly And Ultrasonographic Diagnosis Chapter 6 Ultrasonography In Gynecology
Uterus Didelphys Radiology Case Radiopaedia Org
Uterus Didelphys And Longitudinal Vaginal Septum Coincident With An Obstructive Transverse Vaginal Septum Sciencedirect
Spontaneous Twin Gestation In Each Horn Of Uterus Didelphys Complicated With Unilateral Preterm Labor In Case Reports In Perinatal Medicine Volume 3 Issue 1 2014
Vaginal Birth After Two Previous Caesarean Deliveries In A Patient With Uterus Didelphys And An Interuterine Septal Defect Bmj Case Reports
Bicornuate Or Septate Uterus Part 1 Alabama Fertility
Uterus Didelphys With Unilateral Distal Vaginal Agenesis And Ipsilateral Renal Agenesis Common Presentation Of An Unusual Variation Abstract Europe Pmc
A Rare Case Of Uterine Didelphys Semantic Scholar
Imaging Of Mullerian Duct Anomalies Radiographics
Uterus Didelphys With Obstructed Hemivagina A Report Of Three Cases
Herlyn Werner Wunderlich Syndrome Presenting With Dysmenorrhea A Case Report Journal Of Medical Case Reports Full Text
136 Bicornuate Uterus Radiology Key
Ectopic Ureter Associated With Uterine Didelphys And Obstructed Hemivagina Preoperative Diagnosis By Mri Springerlink
Usg Of The Abdomen And Pelvis Showing An Absent Lef Open I
Uterus Didelphys Radiology Case Radiopaedia Org
Unilateral Singleton Pregnancy With Rural Vaginal Delivery In A Woman With Uterus Didelphys
Mullerian Duct Anomalies Uterine Didelphys Radiologypics Com
Adair Ii Uterus Didelphys With Unilateral Distal Vaginal Agenesis And Ipsilateral Renal Agenesis Common Presentation Of An Unusual Variation
Imaging Of Mullerian Duct Anomalies Yousef Af Khater Hm Hussein Ia Benha Med J
Uterine Didelphys With Concomitant Renal Anomalies In Both Mother And Fetus Sciencedirect
Uterus Didelphys With An Obstructed Hemivagina And Ipsilateral Renal Download Scientific Diagram
Three Cases Of Didelphys Uterus Including Uterus Didelphys With Obstructed Hemivagina And Ipsilateral Renal Agenesis Ohvira Syndrome Aka Herlyn Werner Wunderlich Syndrome With A Systematic Review Medcrave Online
Didelphys Uterus A Case Report And Review Of The Literature
Magnetic Resonance Imaging In Diagnosis And Classification Of Uterovaginal Congenital Anomalies Yadav P Med J Dy Patil Univ
Mullerian Anomaly And Ultrasonographic Diagnosis Chapter 6 Ultrasonography In Gynecology
Uterus Didelphys With Obstructed Right Hemivagina Ipsilateral Renal Agenesis And Right Pyocolpos
A Girl With Kidney Agenesis Uterine Didelphys And Pelvic Cyst Questions Springerlink
Mullerian Duct Anomalies From Diagnosis To Intervention Abstract Europe Pmc
Robotic Radiosurgery To A Patient With Locally Advanced Cervical Cancer And Uterus Didelphys A Case Report And Review Of Literature
Diagnosis Of Ohvira Syndrome In Prepuberty Is It Possible Anales De Pediatria English Edition
Imaging Of Mullerian Duct Anomalies Radiographics
Mullerian Duct Anomalies Embryological Development Classification And Mri Assessment Robbins 2015 Journal Of Magnetic Resonance Imaging Wiley Online Library




No comments:
Post a Comment